Pedidos de Imágenes CM
- Inicio
- Pedidos de Imágenes CM
- I3 - Tele Radiografías
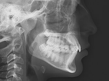
- I3.2-Telerradiografias Lateral
I3.2-Telerradiografias Lateral
$0.00
La telerradiografía es una radiografía extrabucal, lateral o frontal, que proporciona imágenes muy nítidas de los dientes y huesos de la cara del paciente. En Radiología Dental utilizamos la más vanguardista y revolucionaria tecnología en los sensores digitales de nuestros equipos radiológicos.
SKU: I3.2
Categoría: I3 - Tele Radiografías
Productos relacionados
-
I3.1-Telerradiografias Frontal$0.00Añadir al carrito
La telerradiografía es una radiografía extrabucal, lateral o frontal, que proporciona imágenes muy nítidas de los dientes y huesos de la cara del paciente. En Radiología Dental utilizamos la más vanguardista y revolucionaria…




